| Historial | Se presenta un cachorro mestizo macho de 4,5 Kg y de 4 meses con una pata rota tras caer por las escaleras. Se mantiene con férula 1 día hasta la cirugía. |
|---|---|
| Diagnóstico | Fractura diafisaria distal de radio y cúbito. De la analítica se aprecia tan solo cierta deshidratación y leve elevación de la ALT. |
| Pruebas | Control radiográfico anteroposterior y laterolateral del miembro. La analítica con este aumento de la ALT puede ser por el daño muscular ya que pequeñas cantidades de enzima están presentes en glóbulos rojos y músculo. |
| Tratamiento | Resolución quirúrgica sobre el radio utilizando para ello una placa en T y tornillos de 2 mm como material de osteosíntesis. Se espera que el cúbito osifique sin problemas dada la edad y no se aplica ningún material de osteosíntesis en este hueso, como pudiera ser una aguja retógrada entrando por el proceso estiloides. Y ello se hace para minimizar el trauma y evitar un segundo abordaje lateral. En el proceso de curación aparece un cierre prematuro de la fisis cubital. Es una complicación frecuente en animales durante la etapa de máximo crecimiento. Y le daremos una solución en el transcurso de este caso. |

La fractura está desplazada y cerca de las lineas de crecimiento. El espacio distal de trabajo en el radio es de menos de un centímetro y debemos respetar un espacio tanto del foco de fractura como de la fisis distal.
La placa en T permite en 7 mm colocar los 3 tornillos distales de 2 mm. Cuatro tornillos se colocan en el fragmento proximal. Se tiene cuidado especial en no tocar la fisis del radio dado el gran potencial de crecimiento a esta edad de 4 meses a parte de quedar fuera del foco de fractura.

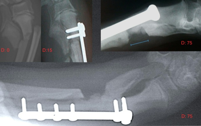
A las 2 semanas se realiza una placa control y aunque las fracturas evolucionan adecuadamente la fisis cubital presenta indicios de cierre prematuro. En el radio (que ha crecido 2,5 mm) hay formación de cayo óseo evidente y si el cúbito tarda suficiente en soldar evitaremos un valgus. Este punto no se cumplirá y tendremos un cúbito que ejercerá de cuerda de arco y hará de freno lateral al crecimiento del radio. Al mes de esta radiografía se recomienda operar pero el propietario decide esperar.
La reintervención se demora hasta que el propietario ve de manera inequívoca la lateralización de la mano (foto pequeña). El abordaje lateral proximal al carpo nos deja sobre el cúbito tras un desplazamiento posterior del tendón extensor carpocubital. En las pinzas se mantiene el hueso osteotomizado y encima el hueco de la osteotomía.

El hueco es rellenado con grasa que se retira del abdomen lateral y que retrasará que el hueso suelde. La grasa se retira cuando la osteotomía ya está hecha para minimizar la exposición de esta fuera del cuerpo. Se mantendrá el paciente, en este caso joven y nerviosos, 15 días con un Robert Jones igual que se hizo en la reparación de la fractura inicial.
En estas imágenes, laterolateral grande y anteroposterior pequeña, a los 75 días de la fractura, el cayo óseo del radio se superpone al espacio de osteotomía aunque está fuera de esta. Tenemos ya una fisis cubital totalmente cerrada que ha visto perder su capacidad de crecimiento progresivamente en cada control radiológico. Se podría retirar la placa pero por cuestiones crematísticas no se hace. A los 2,5 meses de la fractura no hay cojera aún y la osteotomía cubital distal debe ser suficiente en esta edad y en un perro de 6,5 Kg.
Casos por orden de publicación: