| Historial | Dante es un perro mestizo de 9,600 kg que tras saltar del sofá hace 4 días cojea de la extremidad posterior izquierda. |
|---|---|
| Diagnostico | Rotura completa de ligamento cruzado craneal (LCC). Al realizar las pruebas del cajón y con mayor fiabilidad el test de compresión tibial ( flexión del tarso tensando los gastronemios) se produce el desplazamiento craneal de la tibia mas allá de los pocos milímetros habituales en un adulto. No desencadena dolor. |
| Pruebas | Radiografía, de esfuerzo, que muestra la desituación de ambas superficies articulares. |
| Tratamiento | Cirugía para corregir la cojera alterando la biomecánica articular mediante una técnica modificada sobre la conocida TTA ( 2002, tibial tuberositty advancement ). En este caso se realiza la MMT ( modified Maquet technique ) algo menos agresiva pero contrarresta adecuadamente la fuerza del mecanismo extensor de la rodilla. Si bien la reparación del LCC con diversas técnicas extracapsulares es la más utilizada en perros pequeños esto está cambiando hacia un grupo de cirugías encaminadas a establecer nuevos parámetros de fuerzas en esta articulación que eliminen la función de un ligamento cruzado craneal. |

El primer paso tras la exploración son las radiografías a 135o con la subluxación reducida o bien corrigiendo la separación entre cóndilos y eminencia intertrocantérica (flechas, método del autor). La celda a elegir es decidida entonces. Hay estudios que determinan la celda en función del peso del perro. Se suele utilizar la celda mayor sin llegar a la fractura y ante dos tamaños de celda es mejor la más grande.
Tras una capsulorrafia lateral estándar eliminamos el ligamento cruzado roto y lavamos con suero. En este caso se realiza también una liberación de menisco medial mediante una miniartrotomía medial. La artrotomía se cerrará y continúa la cirugía a nivel de la cresta tibial desperiostizando minimamente la linea de corte.

El objetivo del procedimiento es obtener durante la marcha un ángulo de 90o entre la meseta tibial y el tendón rotuliano principalmente en el momento de máximo esfuerzo sobre esta meseta tibial, ello ocurre con ángulos de 120o a 140o de ahí que las radiografías para las mediciones previas se realicen sobre una flexión a 135o.
Se coloca un cerclaje en ocho que es tensado a cada lado para asegurar la cresta ante la fuerza hacia proximal del sistema del cuádriceps. Son frecuentes las fracturas distales de la cresta al abrir el espacio para la celdilla pero no es un problema dado que el periostio sigue intacto y tenemos el cerclaje de seguridad.

Se cierra la osteotomía, hecha con sierra oscilante y sin guía, tras la colocación en proximal de la celda de 6 mm sujeta con 2 tornillos de 2,7 mm colocados de medial a lateral y algo separados del corte.

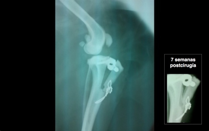
La imagen anteroposterior presenta la banda en ocho y la cesta que está alejada de la superficie articular. El cerclaje según el peso va de 0,8 a 1,2 mm y a este perro de 9,600 kg le corresponde 0,8 ó 1 mm. En este caso se ha utilizado 0,8 mm.
La imagen postquirúrgica es la que se espera salvo que se comprueba una grieta al final de la osteotomía. No era visible en la operación porque quedaba bajo el periostio y no debe influir pero refuerza la opción de poner siempre un cerclaje. Esta técnica es más sencilla sin perder seguridad respecto a las otras que modifican la biomecánica de la rodilla y persiguen una estabilidad dinámica alterando la geometría de la rodilla. Otras opciones que eliminan la función del LCC son: TPLO 1993 tibial plateau levelling osteotomy, TTO triple tibial osteotomy, TTA 2002, tibial tuberositty advancement y la primera de 1984 con la TWO, tibial wedge osteotomy.
OJO IZQUIERDO
Entre 4 a 12 semanas se encuentra el tiempo de curación. En esta imagen tomada a las 7 semanas el desplazamiento es fluido en los paseos aunque aún se resiente con una actividad excesiva cuando salta o estira nervioso enfrentándose a otros perros. Se insiste de nuevo en la actividad moderada hasta la octava semana aunque el pronóstico a estas alturas lleva buen camino.
Casos por orden de publicación: